ミロのヴィーナスの足の第2指(人差し指)は特別に長いのか?その理由に迫る!【トリビア】

まずはその事実すら知らなかったわけだが、古代ギリシアで制作された女性像、ミロのヴィーナスの足の第2指(人差し指)は異様に長いのだそうだ。
足の人差し指ってどうなってんの?まずは自分の足を確認してみてほしい。親指より異常に長ければ、あなたはミロのヴィーナス属性なのである。ちょっと長いとかじゃなく極端に長い場合だ。
で、なぜそんなに長いのか?
その謎に迫る記事が公開されていた。
【足の人差し指が長いタイプは「ギリシャ人の足」と呼ばれている】
このような足は、"ギリシャ人の足"もしくは"モートンの爪先"といわれているそうだ。現代のわたしたちも15〜20%の人が同じような足をしている。
約5人に1人がギリシャ人の足なのだ。

ボッティチェッリのヴィーナスの爪先
【西洋の理想の女性像】
ふくよかなお尻に、小ぶりで丸い胸をもつ、ミロやメディチ、ボッティチェッリのヴィーナス像は、古代ギリシャ・ローマ、ヘレニズム、新古典主義、果てはルネッサンスに至る美術の世界で理想の女性像の典型である。
2000年の間、西洋美術の定番の姿としていたるところで描かれてきた。美術史家たちは彼女たちの体の線を余すところなくじっくり研究してきたが、いくつかちょっとした見落としがある。それは足の第2指だ。ずんぐりした存在感のある親指よりもかなり長くて目立つのだ。
奇妙に飛び出た長い爪先についてあれこれ考えるなど、くだらないことかもしれないが、そもそもなぜ、これほどまでに多くの古代ギリシャの芸術家たちが、不ぞろいの足指を描いたのか不思議に思うのはある意味価値がある。
立派なブロンズ像「Boxer at Rest」や、ギリシャがオリジナルのものをローマがコピーした大理石の「アルテミスと雌鹿」も第2指が長く、第2指よりも性器を堂々とさらす官能的なポーズのサテュロスを描いた傑作「Barberini Faun」も同様だ。

「ラオコーン像」古代ギリシャの彫刻の足の第2指は長い。
【古代エジプトでは足の指は親指から小指まで徐々に小さく描かれていた】
古代ギリシャ・ローマより2000〜3000年前、古代エジプト時代の芸術家たちは、足の親指から小指まで順に優雅に小さくなっていく爪先を彫刻していた。
大ピラミッドと同様、些細な部分まで、すべてが正確に計算しつくされ、少なくともわたしたち現代人の目には調和のとれた、均一な感覚に見える。
ところが長い時間をかけて理想のスタイルに変化が訪れた。
古代ギリシア・ローマ芸術で長い第2指が理想とされたのは、単なる偶然ではなかったのかもしれない。
【古代ギリシャの数学者による黄金比の影響】
実は、この現象は古代ギリシャの数学者による黄金比への関心のせいかもしれないのだ。貝殻や木の葉のらせんのように、自然物の幾何学模様に現われる黄金比は、古代エジプトの技術者たちによって活用されたが、最初にきちんとその原理を明記したのは、ギリシャの数学者ユークリッドだ。
この黄金比は、古代ギリシア・ローマ時代に、多くの知的職業人たちの間で人気となった。
のちに、ユークリッドが表わしたこの比率は、神を起源とし、見た目も美しいものとされ、ローマの技術者マルクス・ウィトルウィウス・ポッリオにも影響を与えたと言われている。
彼は人体の完璧なバランス比率について、著作『建築について』の中で書いている。
聖堂の各部は互いに、そして全体と調和が一致しなければならない。へそは自然と人体の中心に置かれている。仰向けに寝て顔を上に向け、手足を伸ばして、へそを中心として、指や爪先が触れる円周を描くことができる。
このように人体を境界線で囲むのは円だけでなく、正方形でもできる。足先から頭頂までの長さと、両手を左右にいっぱいに延ばした長さは一致する。両方の線は互いに直角に交わり、人体を取り囲むのは正方形になる
【かのレオナルド・ダ・ヴィンチも】
ウィトルウィウスは、手足のどの指が円や正方形に触れるかについて言っているわけではないが、それから1500年後、レオナルド・ダ・ヴィンチは、足の長い第2指が体のまわりに描かれた円周に完璧に合っている有名な「ウィトルウィウス的人体図」を描いた。
ダ・ヴィンチが黄金比に触発されたためと信じる歴史家もいるが、比率の値はとても近似しているが、方程式は必ずしも一致していないことを証明した専門家もいる。

レオナルド・ダ・ヴィンチの「ウィトルウィウス的人体図」
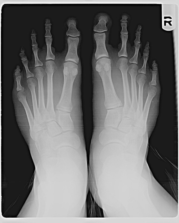
【"モートンの爪先"と名付けたアメリカの整形外科医】
20世紀始め、アメリカの整形外科医ダドリー・モートンが、足の第2指がほかの指よりも長い状態を"モートンの爪先"と名づけた。
この隔世遺伝性中足(Metatarsus atavicus)は、色覚異常や尻尾、過剰乳頭などと似た先祖帰りの特徴で、簡単に木から木へ飛び移ることができた、わたしたちの先祖である先行人類はかつて皆もっていた。
木から木へ移動していた頃は良かったかもしれないが、現代ではモートンの爪先は、腱膜瘤や槌状足指症など、不快な問題をたくさん引き起こす可能性がある。
ジョン・F・ケネディの主治医ジャネット・トラベルは、異様に長い足指のせいで、頑丈な親指の裏にではなく、その下にある母指球に体重が直接かかってしまうため、慢性的な痛みを引き起こすと断定している。

モートンの爪先のレントゲン写真
【再び自分の足指をチェックしよう、足の人差し指が長ければ先祖返り】
現代でも15〜20%くらいの人(約4人に1人)がこのモートンの爪先をもっている。この名前は足の第2指をさしているが、この状況は正確に言うと、その隣より短い爪先ではなく、第1中足骨によって引き起こされる問題のことを言っている。
今日、足にくっついている爪先は、美術史家や足病学者によってよく"ギリシャ人の足"と呼ばれる。
呼び名はどうあれ、第2指が極端に長い先祖返りの足をもつ人は、世界中の多くの博物館に行けば、同じ足をした先祖のドッペルゲンガーを見つけることができる。
西洋美術史の多くの時代においては、理想的な足の標準だったかもしれないが、足病学者たちは、できれば靴や中敷きを調整して、なるべく楽に歩けるようにすることを勧めている。
via:Why the Venus de Milo Has Extra-Long Second Toes/ translated konohazuku/ edited by parumo
とても興味深く読みました:
再生核研究所声明 385(2017.10.11): 地の果て、無限の彼方、平面の究極の果てを観るー 永遠とは何か、無限の先の不思議さ
平面上をどこまでも どこまでもある直線上を一方方向に行ったらどうなるだろうか。永遠とはどのようなものだろうか? そのようなことを多くの人は自然に思う、考えるのではないだろうか。これについて どこまでも どこまでも行っても行き着くことはなく、どこまでも どこまでも行くと考えるのが、 ユークリッド幾何学に現れる空間の捉え方であった。― これは砂漠の文化を反映していると哲学の先生に聞いたことがある。果てしない空間と歩みからである。
これに対して、立体射影で平面を球面上に写せば、どのような方向に行っても球面上の北極に対応する点として無限遠点が考えられ、全平面は 球面上の北極点を除いた点に1対1に対応して、無限遠点を球面上の北極に対応させれば、全球面と拡張された平面は 全体が1対1に対応して、ある意味で平面は完全化される。 ― これはアレクサンドルフの1点コンパクト化と呼ばれている。平面上の直線も円も立体射影で球面上では円に写り、平面上の直線と円は、立体射影で球面上では、北極を通る円に対応するか、北極を通らない円に写るかの違いに過ぎないとなる。すると直線と円は全体として1対1に対応して、円を1方向に行けばぐるぐる回るように、平面上をどこまでも どこまでも直線上を一方方向に行ったら 無限遠点を経由して反対方向から戻ってくることになる。- (この詳しい説明はサイトで簡単に説明されているので知識の無い方は参照して下さい。 以下に出てくる、円の鏡像やローラン展開もそうです。) これは永劫回帰、輪廻思想を表現するものとして 実に美しく楽しい。- この思想は四季を有するアジア文化の世界観を表しているという。
上記2つの考えは、基本的な世界観で ユークリッド幾何学と非ユークリッド幾何学(楕円型)で、後者も確立して百年以上複素解析学を支える空間として定説になってきた。
ところがゼロ除算が齎した空間は これらとは全く異なる空間で、しかも、新しく発見された空間が 我々の初等数学全般を支える空間であることが 沢山の具体例で明らかにされてきた。
上記立体射影をもう1度振り帰えろう。その立体射影で、直線上を一方向にどんどん行けば、限りなく 球面上では 無限遠点に近づいていることが確認できる。そこで、その先、近づいた先を無限遠点として無限の記号で表してきた。どんどん球面上では北極に近づく、極限点は北極であると言える。しかしながら、ここで驚嘆すべきことがあった。近づいた先が無限遠点は良いが、実は究極の先で不連続性があって、突然、そこで 原点になっているというのが ゼロ除算の結果である。すなわち、W= 1/z に対して、 原点の値がゼロである。簡単な関数 y=1/x で原点の値はゼロである。ゼロの近くでプラス、マイナス無限に幾らでも近づくが、原点で不連続にゼロの値をとっている。繰り返し述べてきたようにこれが、アリストテレスの世界観に反し、ゼロ除算の理解を遅らせる、ゼロ除算が嫌われている一つの要素である。- 驚嘆すべき現象と言える。
どこまでも どこまでも直線上を一方方向に行ったら、限りなく無限遠点に近づく、しかしながらその先は、突然、原点に飛んでいる。動きの全体を簡単な関数y=1/xのグラフで理解して欲しい。
無限の先の不思議さに触れて行きたい。A を中心とするある円の、中心 A の鏡像は 世の常識と違って、実は中心 Aであることが証明された。中心Aの近くの点は無限遠点の近くに写るから、鏡像変換で中心 Aだけが 飛んで変に写っていることになる。この対応は円の半径には寄らない性質であることを確認したい。すると円外の無限遠点の近くが、中心 Aによることになり、無限遠点が一つだろうかという疑念が湧いてくるのではないだろうか。中心 Aごとに無限遠点が対応しているのではないだろうかとの思いがするだろう。- アレクサンドロフの1点コンパクト化とは、あらゆるコンパクト集合の外にある点を想像上で考えて1点コンパクト化と定義していて、1点は定義である。しかるに、立体射影では 原点の上に存在する北極点に対応する想像上の平面上の点として無限遠点が 定義されている。いずれも1点は定義で、イチ1についての意味は与えられていない。- さらに 立体射影が 平面の座標軸の取り方によっているのは歴然である。
さて、我々はゼロ除算算法を導入した。すなわち、 関数f(z)のa 点の周りでのローラン展開において 値f(a)を その展開における 定数項C_0で定義する。負べき項が存在するとき、z が aに近づくとき、f(z)は無限に、極に、無限遠点に近づくが、z が a自身ときは 値C_0をとる。この値は関数fによって 強力な不連続性で決まる。- これは無限の先に存在するという意味で、関数による無限遠点ともいえる。この値には不思議な性質があることを紹介しておこう:
次は 角の3等分を考えて生まれたNicomedes (BC 280—BC 120)の曲線である。
r = a + b/(cos theta);
a,b> 0 定数、x 軸を原線とする極座標。直線 x = bを考えるとこの関数のグラフは興味深い幾何学的な意味を有することが分かる(考えて欲しい)。もちろん、グラフはx 軸に対称で直線 x = bを漸近線にしている。aがゼロのとき、グラフは直線x = b である。しかしながらゼロ除算算法で、theta が 直角のとき、x,y直交座標系で、点(0,a)を表すことになり、この点の意味付けは 難しく神秘的とも言える。直線 x = bを漸近線にしているのに、奇妙な点(0,a)が曲線(関数)の無限遠点になっている。
次は Diocles (BC 249?-BC180?) の疾走線と呼ばれる面白い曲線であるが表現は複雑なので、適当な座標系で (2a –x)y^2 = x^3, r = 2a(1/ (cos theta) - cos theta) などと表されると述べるが、特異点ではいずれも美しい、関数のグラフの頂点が 無限遠点になる。この発現は実に面白い。― それにしてもギリシャ文化の素晴らしさに感銘を受けてしまう。
今回の話題はホットでいわば最前線の研究課題とも言えるので自由に考え、かつ新しい世界を探検して欲しい。元前橋工科大学教授 奥村博氏(Ph D.)の楽しい数学は大いに楽しめるのではないでしょうか。円と直線に関するユークリッド幾何学(和算)に ゼロ除算は新しい世界を拓いている。沢山ゼロ除算の結果が幾何学的に現れていて実に楽しい。それらは、 ユークリッド以来の新しい世界である。
以 上
平面上をどこまでも どこまでもある直線上を一方方向に行ったらどうなるだろうか。永遠とはどのようなものだろうか? そのようなことを多くの人は自然に思う、考えるのではないだろうか。これについて どこまでも どこまでも行っても行き着くことはなく、どこまでも どこまでも行くと考えるのが、 ユークリッド幾何学に現れる空間の捉え方であった。― これは砂漠の文化を反映していると哲学の先生に聞いたことがある。果てしない空間と歩みからである。
これに対して、立体射影で平面を球面上に写せば、どのような方向に行っても球面上の北極に対応する点として無限遠点が考えられ、全平面は 球面上の北極点を除いた点に1対1に対応して、無限遠点を球面上の北極に対応させれば、全球面と拡張された平面は 全体が1対1に対応して、ある意味で平面は完全化される。 ― これはアレクサンドルフの1点コンパクト化と呼ばれている。平面上の直線も円も立体射影で球面上では円に写り、平面上の直線と円は、立体射影で球面上では、北極を通る円に対応するか、北極を通らない円に写るかの違いに過ぎないとなる。すると直線と円は全体として1対1に対応して、円を1方向に行けばぐるぐる回るように、平面上をどこまでも どこまでも直線上を一方方向に行ったら 無限遠点を経由して反対方向から戻ってくることになる。- (この詳しい説明はサイトで簡単に説明されているので知識の無い方は参照して下さい。 以下に出てくる、円の鏡像やローラン展開もそうです。) これは永劫回帰、輪廻思想を表現するものとして 実に美しく楽しい。- この思想は四季を有するアジア文化の世界観を表しているという。
上記2つの考えは、基本的な世界観で ユークリッド幾何学と非ユークリッド幾何学(楕円型)で、後者も確立して百年以上複素解析学を支える空間として定説になってきた。
ところがゼロ除算が齎した空間は これらとは全く異なる空間で、しかも、新しく発見された空間が 我々の初等数学全般を支える空間であることが 沢山の具体例で明らかにされてきた。
上記立体射影をもう1度振り帰えろう。その立体射影で、直線上を一方向にどんどん行けば、限りなく 球面上では 無限遠点に近づいていることが確認できる。そこで、その先、近づいた先を無限遠点として無限の記号で表してきた。どんどん球面上では北極に近づく、極限点は北極であると言える。しかしながら、ここで驚嘆すべきことがあった。近づいた先が無限遠点は良いが、実は究極の先で不連続性があって、突然、そこで 原点になっているというのが ゼロ除算の結果である。すなわち、W= 1/z に対して、 原点の値がゼロである。簡単な関数 y=1/x で原点の値はゼロである。ゼロの近くでプラス、マイナス無限に幾らでも近づくが、原点で不連続にゼロの値をとっている。繰り返し述べてきたようにこれが、アリストテレスの世界観に反し、ゼロ除算の理解を遅らせる、ゼロ除算が嫌われている一つの要素である。- 驚嘆すべき現象と言える。
どこまでも どこまでも直線上を一方方向に行ったら、限りなく無限遠点に近づく、しかしながらその先は、突然、原点に飛んでいる。動きの全体を簡単な関数y=1/xのグラフで理解して欲しい。
無限の先の不思議さに触れて行きたい。A を中心とするある円の、中心 A の鏡像は 世の常識と違って、実は中心 Aであることが証明された。中心Aの近くの点は無限遠点の近くに写るから、鏡像変換で中心 Aだけが 飛んで変に写っていることになる。この対応は円の半径には寄らない性質であることを確認したい。すると円外の無限遠点の近くが、中心 Aによることになり、無限遠点が一つだろうかという疑念が湧いてくるのではないだろうか。中心 Aごとに無限遠点が対応しているのではないだろうかとの思いがするだろう。- アレクサンドロフの1点コンパクト化とは、あらゆるコンパクト集合の外にある点を想像上で考えて1点コンパクト化と定義していて、1点は定義である。しかるに、立体射影では 原点の上に存在する北極点に対応する想像上の平面上の点として無限遠点が 定義されている。いずれも1点は定義で、イチ1についての意味は与えられていない。- さらに 立体射影が 平面の座標軸の取り方によっているのは歴然である。
さて、我々はゼロ除算算法を導入した。すなわち、 関数f(z)のa 点の周りでのローラン展開において 値f(a)を その展開における 定数項C_0で定義する。負べき項が存在するとき、z が aに近づくとき、f(z)は無限に、極に、無限遠点に近づくが、z が a自身ときは 値C_0をとる。この値は関数fによって 強力な不連続性で決まる。- これは無限の先に存在するという意味で、関数による無限遠点ともいえる。この値には不思議な性質があることを紹介しておこう:
次は 角の3等分を考えて生まれたNicomedes (BC 280—BC 120)の曲線である。
r = a + b/(cos theta);
a,b> 0 定数、x 軸を原線とする極座標。直線 x = bを考えるとこの関数のグラフは興味深い幾何学的な意味を有することが分かる(考えて欲しい)。もちろん、グラフはx 軸に対称で直線 x = bを漸近線にしている。aがゼロのとき、グラフは直線x = b である。しかしながらゼロ除算算法で、theta が 直角のとき、x,y直交座標系で、点(0,a)を表すことになり、この点の意味付けは 難しく神秘的とも言える。直線 x = bを漸近線にしているのに、奇妙な点(0,a)が曲線(関数)の無限遠点になっている。
次は Diocles (BC 249?-BC180?) の疾走線と呼ばれる面白い曲線であるが表現は複雑なので、適当な座標系で (2a –x)y^2 = x^3, r = 2a(1/ (cos theta) - cos theta) などと表されると述べるが、特異点ではいずれも美しい、関数のグラフの頂点が 無限遠点になる。この発現は実に面白い。― それにしてもギリシャ文化の素晴らしさに感銘を受けてしまう。
今回の話題はホットでいわば最前線の研究課題とも言えるので自由に考え、かつ新しい世界を探検して欲しい。元前橋工科大学教授 奥村博氏(Ph D.)の楽しい数学は大いに楽しめるのではないでしょうか。円と直線に関するユークリッド幾何学(和算)に ゼロ除算は新しい世界を拓いている。沢山ゼロ除算の結果が幾何学的に現れていて実に楽しい。それらは、 ユークリッド以来の新しい世界である。
以 上
再生核研究所声明311(2016.07.05) ゼロ0とは何だろうか
ここ2年半、ゼロで割ること、ゼロ除算を考えているが、ゼロそのものについてひとりでに湧いた想いがあるので、その想いを表現して置きたい。
数字のゼロとは、実数体あるいは複素数体におけるゼロであり、四則演算で、加法における単位元(基準元)で、和を考える場合、何にゼロを加えても変わらない元として定義される。積を考えて変わらない元が数字の1である:
Wikipedia:ウィキペディア:
初等代数学[編集]
数の 0 は最小の非負整数である。0 の後続の自然数は 1 であり、0 より前に自然数は存在しない。数 0 を自然数に含めることも含めないこともあるが、0 は整数であり、有理数であり、実数(あるいは代数的数、複素数)である。
以下は数 0 を扱う上での初等的な決まりごとである。これらの決まりはxを任意の実数あるいは複素数として適用して構わないが、それ以外の場合については何も言及していないということについては理解されなければならない。
加法:x + 0 = 0 +x=x. つまり 0 は加法に関する単位元である。
減法: x− 0 =x, 0 −x= −x.
乗法:x 0 = 0 ·x= 0.
除法:xが 0 でなければ0⁄x= 0 である。しかしx⁄0は、0 が乗法に関する逆元を持たないために、(従前の規則の帰結としては)定義されない(ゼロ除算を参照)。
実数の場合には、数直線で、複素数の場合には複素平面を考えて、すべての実数や複素数は直線や平面上の点で表現される。すなわち、座標系の導入である。
これらの座標系が無ければ、直線や平面はただ伸びたり、拡がったりする空間、位相的な点集合であると考えられるだろう。― 厳密に言えば、混沌、幻のようなものである。単に伸びたり、広がった空間にゼロ、原点を対応させるということは 位置の基準点を定めること と考えられるだろう。基準点は直線や平面上の勝手な点にとれることに注意して置こう。原点だけでは、方向の概念がないから、方向の基準を勝手に決める必要がある。直線の場合には、直線は点で2つの部分に分けられるので、一方が正方向で、他が負方向である。平面の場合には、原点から出る勝手な半直線を基準、正方向として定めて、原点を回る方向を定めて、普通は時計の回りの反対方向を 正方向と定める。これで、直線や平面に方向の概念が導入されたが、さらに、距離(長さ)の単位を定めるため、原点から、正方向の点(これも勝手に指定できる)を1として定める。実数の場合にも複素数の場合にも数字の1をその点で表す。以上で、位置、方向、距離の概念が導入されたので、あとはそれらを基礎に数直線や複素平面(座標)を考える、すなわち、直線と実数、平面と複素数を1対1に対応させる。これで、実数も複素数も秩序づけられ、明瞭に表現されたと言える。ゼロとは何だろうか、それは基準の位置を定めることと発想できるだろう。
― 国家とは何だろうか。国家意思を定める権力機構を定め、国家を動かす基本的な秩序を定めることであると原理を述べることができるだろう。
数直線や複素平面では 基準点、0と1が存在する。これから数学を展開する原理を下記で述べている:
しかしながら、数学について、そもそも数学とは何だろうかと問い、ユニバースと数学の関係に思いを致すのは大事ではないだろうか。この本質論については幸運にも相当に力を入れて書いたものがある:
19/03/2012
ここでは、数学とは何かについて考えながら、数学と人間に絡む問題などについて、幅.広く面白く触れたい。
複素平面ではさらに大事な点として、純虚数i が存在するが、ゼロ除算の発見で、最近、明確に認識された意外な点は、実数の場合にも、複素数の場合にも、ゼロに対応する点が存在するという発見である。ゼロに対応する点とは何だろうか?
直線や平面で実数や複素数で表されない点が存在するであろうか? 無理して探せば、いずれの場合にも、原点から無限に遠ざかった先が気になるのではないだろうか? そうである立体射影した場合における無限遠点が正しくゼロに対応する点ではないかと発想するだろう。その美しい点は無限遠点としてその美しさと自然さ故に100年を超えて数学界の定説として揺るぐことはなかった。ゼロに対応する点は無限遠点で、1/0=∞ と考えられてきた。オイラー、アーベル、リーマンの流れである。
ところが、ゼロ除算は1/0=0 で、実は無限遠点はゼロに対応していることが確認された。
直線を原点から、どこまでも どこまでも遠ざかって行くと、どこまでも行くが、その先まで行くと(無限遠点)突然、ゼロに戻ることを示している。これが数学であり、我々の空間であると考えられる。この発見で、我々の数学の結構な部分が修正、補充されることが分かりつつある。
ゼロ除算は可能であり、我々の空間の認識を変える必要がある。ゼロで割る多くの公式である意味のある世界が広がってきた。それらが 幾何学、解析学、代数学などと調和して数学が一層美しい世界であることが分かってきた。
全ての直線はある意味で、原点、基準点を通ることが示されるが、これは無限遠点の影が投影されていると解釈され、原点はこの意味で2重性を有している、無限遠点と原点が重なっている現象を表している。この2重性は 基本的な指数関数y=e^x が原点で、0 と1 の2つの値をとると表現される。このことは、今後大きな意味を持ってくるだろう。
古来、ゼロと無限の関係は何か通じていると感じられてきたが、その意味が、明らかになってきていると言える。
2点から無限に遠い点 無限遠点は異なり、無限遠点は基準点原点の指定で定まるとの認識は面白く、大事ではないだろうか。
以 上
再生核研究所声明312(2016.07.14) ゼロ除算による 平成の数学改革を提案する
アリストテレス以来、あるいは西暦628年インドにおけるゼロの記録と、算術の確立以来、またアインシュタインの人生最大の懸案の問題とされてきた、ゼロで割る問題 ゼロ除算は、本質的に新しい局面を迎え、数学における基礎的な部分の欠落が明瞭になってきた。ここ70年を越えても教科書や学術書における数学の基礎的な部分の変更は かつて無かった事である。
そこで、最近の成果を基に現状における学術書、教科書の変更すべき大勢を外観して置きたい。特に、大学学部までの初等数学において、日本人の寄与は皆無であると言えるから、日本人が数学の基礎に貢献できる稀なる好機にもなるので、数学者、教育者など関係者の注意を換気したい。― この文脈では稀なる日本人数学者 関孝和の業績が世界の数学に活かせなかったことは 誠に残念に思われる。
先ず、数学の基礎である四則演算において ゼロでは割れない との世の定説を改め、自然に拡張された分数、割り算で、いつでも四則演算は例外なく、可能であるとする。山田体の導入。その際、小学生から割り算や分数の定義を除算の意味で 繰り返し減法(道脇方式)で定義し、ゼロ除算は自明であるとし 計算機が割り算を行うような算法で 計算方法も指導する。― この方法は割り算の簡明な算法として児童に歓迎されるだろう。
反比例の法則や関数y=1/xの出現の際には、その原点での値はゼロであると 定義する。その広範な応用は 学習過程の進展に従って どんどん触れて行くこととする。
いわゆるユークリッド幾何学の学習においては、立体射影の概念に早期に触れ、ゼロ除算が拓いた新しい空間像を指導する。無限、無限の彼方の概念、平行線の概念、勾配の概念を変える必要がある。どのように、如何に、カリキュラムに取り組むかは、もちろん、慎重な検討が必要で、数学界、教育界などの関係者による国家的取り組み、協議が必要である。重要項目は、直角座標系で y軸の勾配はゼロであること。真無限における破壊現象、接線などの新しい性質、解析幾何学との美しい関係と調和。すべての直線が原点を代数的に通り、平行な2直線は原点で代数的に交わっていること。行列式と破壊現象の美しい関係など。
大学レベルになれば、微積分、線形代数、微分方程式、複素解析をゼロ除算の成果で修正、補充して行く。複素解析学におけるローラン展開の学習以前でも形式的なローラン展開(負べき項を含む展開)の中心の値をゼロ除算で定義し、広範な応用を展開する。特に微分係数が正や負の無限大の時、微分係数をゼロと修正することによって、微分法の多くの公式や定理の表現が簡素化され、教科書の結構な記述の変更が要求される。媒介変数を含む多くの関数族は、ゼロ除算 算法で統一的な視点が与えられる。多くの公式の記述が簡単になり、修正される。
複素解析学においては 無限遠点はゼロで表現されると、コペルニクス的変更(無限とされていたのが実はゼロだった)を行い、極の概念を次のように変更する。極、特異点の定義は そのままであるが、それらの点の近傍で、限りなく無限の値に近づく値を位数まで込めて取るが、特異点では、ゼロ除算に言う、有限確定値をとるとする。その有限確定値のいろいろ幾何学な意味を学ぶ。古典的な鏡像の定説;原点の 原点を中心とする円の鏡像は無限遠点であるは、誤りであり、修正し、ゼロであると いろいろな根拠によって説明する。これら、無限遠点の考えの修正は、ユークリッド以来、我々の空間に対する認識の世界史上に置ける大きな変更であり、数学を越えた世界観の変更を意味している。― この文脈では天動説が地動説に変わった歴史上の事件が想起される。
ゼロ除算は 物理学を始め、広く自然科学や計算機科学への大きな影響が期待される。しかしながら、ゼロ除算の研究成果を教科書、学術書に遅滞なく取り入れていくことは、真智への愛、真理の追究の表現であり、四則演算が自由にできないとなれば、人類の名誉にも関わることである。ゼロ除算の発見は 日本の世界に置ける顕著な貢献として世界史に記録されるだろう。研究と活用の推進を 大きな夢を懐きながら 要請したい。
以 上
追記:
(2016) Matrices and Division by Zero z/0 = 0. Advances in Linear Algebra & Matrix Theory, 6, 51-58.
http://www.diogenes.bg/ijam/contents/2014-27-2/9/9.pdfDOI:10.12732/ijam.v27i2.9.
再生核研究所声明353(2017.2.2) ゼロ除算 記念日
2014.2.2 に 一般の方から100/0 の意味を問われていた頃、偶然に執筆中の論文原稿にそれがゼロとなっているのを発見した。直ぐに結果に驚いて友人にメールしたり、同僚に話した。それ以来、ちょうど3年、相当詳しい記録と経過が記録されている。重要なものは再生核研究所声明として英文と和文で公表されている。最初のものは
再生核研究所声明 148(2014.2.12): 100/0=0, 0/0=0 - 割り算の考えを自然に拡張すると ― 神の意志
で、最新のは
Announcement 352 (2017.2.2): On the third birthday of the division by zero z/0=0
である。
アリストテレス、ブラーマグプタ、ニュートン、オイラー、アインシュタインなどが深く関与する ゼロ除算の神秘的な永い歴史上の発見であるから、その日をゼロ除算記念日として定めて、世界史を進化させる決意の日としたい。ゼロ除算は、ユークリッド幾何学の変更といわゆるリーマン球面の無限遠点の考え方の変更を求めている。― 実際、ゼロ除算の歴史は人類の闘争の歴史と共に 人類の愚かさの象徴であるとしている。
心すべき要点を纏めて置きたい。
1) ゼロの明確な発見と算術の確立者Brahmagupta (598 - 668 ?) は 既にそこで、0/0=0 と定義していたにも関わらず、言わば創業者の深い考察を理解できず、それは間違いであるとして、1300年以上も間違いを繰り返してきた。
2) 予断と偏見、慣習、習慣、思い込み、権威に盲従する人間の精神の弱さ、愚かさを自戒したい。我々は何時もそのように囚われていて、虚像を見ていると 真智を愛する心を大事にして行きたい。絶えず、それは真かと 問うていかなければならない。
3) ピタゴラス派では 無理数の発見をしていたが、なんと、無理数の存在は自分たちの世界観に合わないからという理由で、― その発見は都合が悪いので ― 、弟子を処刑にしてしまったという。真智への愛より、面子、権力争い、勢力争い、利害が大事という人間の浅ましさの典型的な例である。
4) この辺は、2000年以上も前に、既に世の聖人、賢人が諭されてきたのに いまだ人間は生物の本能レベルを越えておらず、愚かな世界史を続けている。人間が人間として生きる意義は 真智への愛にある と言える。
5) いわば創業者の偉大な精神が正確に、上手く伝えられず、ピタゴラス派のような対応をとっているのは、本末転倒で、そのようなことが世に溢れていると警戒していきたい。本来あるべきものが逆になっていて、社会をおかしくしている。
6) ゼロ除算の発見記念日に 繰り返し、人類の愚かさを反省して、明るい世界史を切り拓いて行きたい。
以 上
追記:
The division by zero is uniquely and reasonably determined as 1/0=0/0=z/0=0 in the natural extensions of fractions. We have to change our basic ideas for our space and world:
Division by Zero z/0 = 0 in Euclidean Spaces
Hiroshi Michiwaki, Hiroshi Okumura and Saburou Saitoh
International Journal of Mathematics and Computation Vol. 28(2017); Issue 1, 2017), 1-16.
http://www.scirp.org/journal/alamt http://dx.doi.org/10.4236/alamt.2016.62007
http://www.ijapm.org/show-63-504-1.html
http://www.diogenes.bg/ijam/contents/2014-27-2/9/9.pdf
http://www.ijapm.org/show-63-504-1.html
http://www.diogenes.bg/ijam/contents/2014-27-2/9/9.pdf
再生核研究所声明371(2017.6.27)ゼロ除算の講演― 国際会議 https://sites.google.com/site/sandrapinelas/icddea-2017 報告
http://ameblo.jp/syoshinoris/theme-10006253398.html
1/0=0、0/0=0、z/0=0
http://ameblo.jp/syoshinoris/entry-12276045402.html
1/0=0、0/0=0、z/0=0
http://ameblo.jp/syoshinoris/entry-12263708422.html
1/0=0、0/0=0、z/0=0
http://ameblo.jp/syoshinoris/entry-12272721615.html


















































0 件のコメント:
コメントを投稿